Dvaasedmdesátiletý obyvatel Velké Británie si po dobu osmi dnů myslel, že zubní protézu, ale celou tu dobu byla v krku člověka.

Protéza se tam dostala během operace, aby se odstranil útvar na břišní stěně.

To je uvedeno v lékařské zprávě z British Medical Journal.

Důchodce podstoupil operaci, aby mu odstranili útvar na břišní stěně - během operace nebylo vyžadováno, aby protézy byla odstraněná.

Lékaři slyšeli první stížnosti muže po šesti dnech. Mluvil o tom, že nemůže jíst pevné jídlo, má problémy s dýcháním a polykáním, a někdy vidí krev v ústech.

Byl mu předepsán antibiotik a poslán domů, ale o dva dny později se muž vrátil se závažnějšími příznaky.

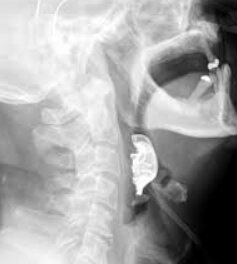
Obyvatel Velké Británie byl hospitalizován. Byl mu udělán rentgen, který ukázal, že mu v hrdle uvízla protéza.

Lékaři provedli nouzovou operaci k odstranění cizího předmětu.

Chirurgy byli vyzváni, aby zajistili, že pacienti nebudou během chirurgického zákroku mít protézy.

Lékař poznamenal, že neexistují obecné pokyny pro protézy během anestezie.

Populární zprávy teď

Vojta Kotek promluvil o svém synovi: „Léto jsem se snažil si udělat co nejvíc volné"

Dagmar Jandová mluvila o své rodině: Proč se Kvízová dáma pyšní svými dcerami

Markéta Konvičková se pochlubila snímky z narozenin Amálky a řekla, jak proběhla oslava: "Jaký otec, taková dcera"

Jak se oblékla a jak vypadala mládež 70. let minulého století

Zobrazit více

Doufáme, že nyní je člověk v pořádku. Stalo se vám něco takového?

Zdroj: lifter.com.ua

Dříve jsme psali: ČÍŇANKA POSLALA BÝVALOU TUNU CIBULE, ABY "PLAKAL JAKO ONA", ALE UKÁZALO SE TO BÝT JEŠTĚ HORŠÍ

Připomínáme: CHLAP SE PŘEVLÉKL ZA KOSTLIVCE S KOSOU A CHODÍ PO PLÁŽÍCH: OBTÍŽNÁ MISE