 
        
Ale tentokrát byl průběh těhotenství velmi zvláštní.
 
        
Břicho se zvětšovalo velmi rychle. Bylo tak obrovské, že žena měla problémy s pohybem. Neodkladná návštěva lékaře a ultrazvukové vyšetření vyjasnily situaci.
 
        
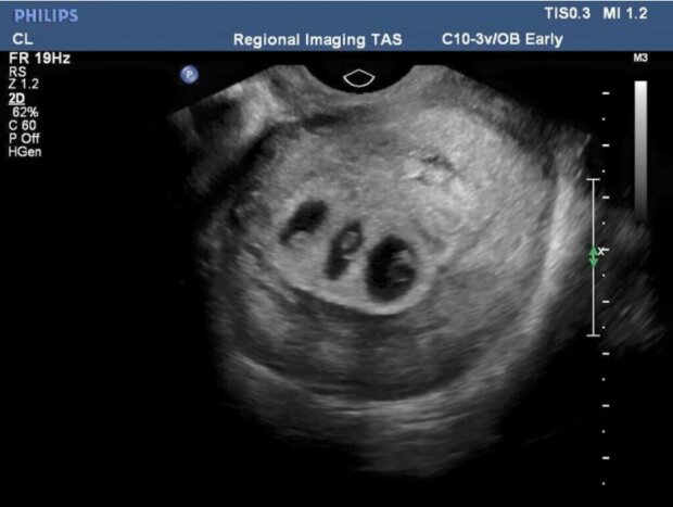
Žena čekala trojčata. Pro pár to byla šokující zpráva, protože to znamenalo, že budou vychovávat šest dětí! Ukázalo se také, že jedním z tří dětí bude vytoužená holčička. Dva kluci se vyvíjeli dobře, ale holčička slábla. Její plíce neměly dostatek kyslíku, což mohlo způsobit její smrt.
 
        
Zoufalá situace přiměla manželský pár k důležitému rozhodnutí. Lékaři dali rodičům na výběr: buď předčasný porod, nebo smrt holčičky, která by umožnila bráškům nekomplikovaný vývoj v mateřském lůně.
 
        
Rodiče se rozhodli pro předčasný porod. Děti byly po porodu velmi malí a slabí. Jejich stav neustále kontrolovali lékaři. Několik týdnů musely podstupovat transfuzi krve a množství dalších zákroků, které byly nutné pro záchranu jejich života.
Nakonec vše dobře dopadlo a malá trojčata vyrazila domů. Jejich sourozenci měli ohromnou radost. Tyto roztomilé fotky musí dojmout každého.
 
        
 
        
Změna stylu: Herečka Jana Švandová ukázala fanouškům svůj nový sestřih
Jak se princezna Diana vdala: 41 let od svatby princezny Diany a prince Charlese
Po smrti své manželky vychoval jednatřicetiletý Anton sám šest dětí. Podívejte se, jak ho za to osud odměnil
Korpus, který se vždy povede: je jemný, nadýchaný a šťavnatý. Podle receptu mojí babičky
 
        
 
         
                                 
                             
                             
                             
                             
                             
                             
                             
                             
                             
         
         
         
         
         
         
         
         
         
         
         
         
         
         
         
         
         
         
         
         
         
         
         
         
         
        